【症例写真あり】渋谷区初台の内藤歯科のインプラント長期症例
【症例写真あり】そのインプラント、10年後も大丈夫?渋谷区初台の専門医が語る「長持ちするインプラント」の条件
「高額なインプラント治療、どうせなら長く使いたい」 「手術が失敗したらどうしよう…」 「どの歯医者を選べばいいか分からない」
インプラントを検討する際、誰もがこのような期待と不安を抱えるのではないでしょうか。治療費も決して安くはないため、医院選びは慎重になりますよね。
こんにちは、渋谷区初台の内藤歯科です。 当院は、インプラント治療を専門的に手掛けており、多くの患者様のお悩みに応えてきました。
先に結論をお伝えします。 適切な医院で、適切な治療を受け、適切なメンテナンスを続ければ、インプラントは20年、30年と長期にわたって快適に機能します。
今回はその証拠として、当院で治療を受け、20年以上が経過したインプラント症例をご紹介しながら、「長持ちするインプラント」のために本当に大切なことをお伝えします。
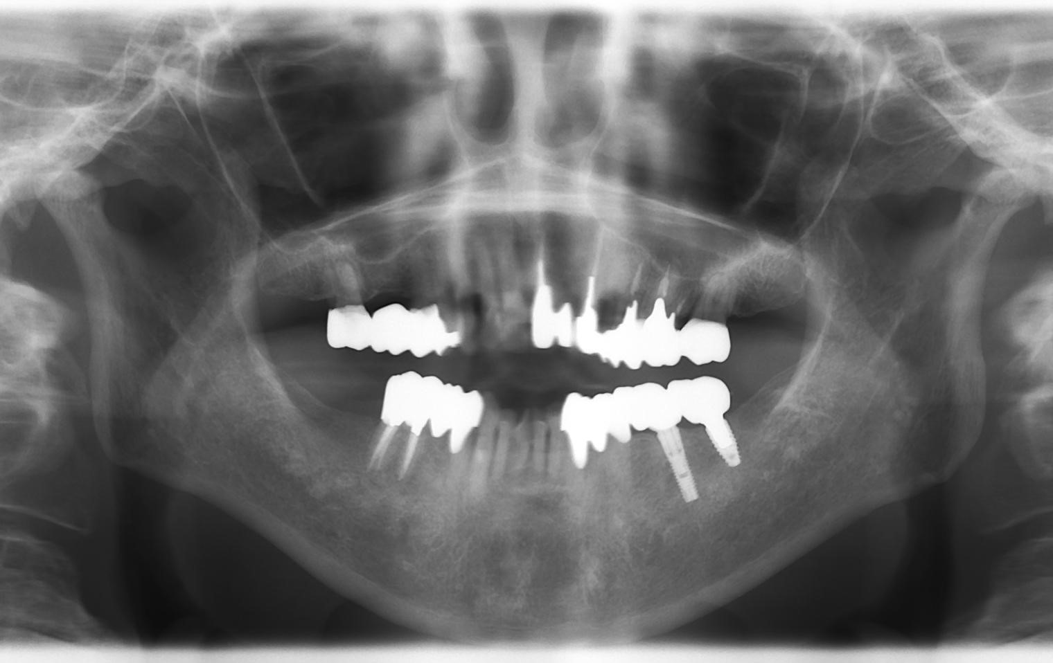
【症例】20年後も健康なインプラント(レントゲン写真)
この方は、約20年前に提携している専門医の歯科医院様からのご紹介で来院されました。「歯の根が割れてしまい、抜歯が必要」との診断を受け、失った歯を補うために当院でインプラント治療を行いました。
下の画像は、治療から20年以上が経過した現在のレントゲン写真です。
▼お口全体のレントゲン写真 赤丸で囲んだ部分が、20年前に治療したインプラントです。
▼さらに詳しく見てみましょう インプラントを支える周りの骨(赤い線の部分)が、全く痩せていないのがお分かりいただけるでしょうか。これは、インプラント周囲炎などのトラブルがなく、骨が非常に健康な状態を保っている証拠です。
一般的に、10年以上良好な状態を保てれば「成功」と見なされる医療分野において、これは極めて良好な経過と言えます。
では、なぜこれほど長期にわたって安定した状態を維持できたのでしょうか。それには4つの明確な理由があります。
理由1:製品の質|世界が認めるトップメーカーのインプラントを使用
インプラントは、体の中に埋め込む精密な医療機器です。だからこそ、当院では長期的な安全性と実績が科学的に証明されている製品しか使用しません。
今回の症例で使用したのは、「アストラテックインプラント」。スイスの「ストローマン」、スウェーデンの「ノーベルバイオケア」と並び、世界3大インプラントメーカーと称されるデンツプライ・シロナ社(米・独)の製品です。
- 世界中の大学病院や研究機関で採用されている信頼性
- 骨と強固に結合し、長期間安定した臨床成績を誇る
- 豊富な科学的根拠(エビデンス)に裏付けられている
世の中には、「激安」と称される安価なお手軽インプラントも存在しますが、数十年という単位で考えたとき、この「製品の質」へのこだわりが、将来の安心感に直結します。激安インプラントで、30年後にインプラントのパーツ供給が可能ですか?
理由2:技術の質|コンピューターガイドによる「0.1ミリ単位」の精密手術
どれだけ良い材料を使っても、手術が正確でなければ意味がありません。 当院では、経験や勘だけに頼らない、より安全で精密な手術を行うために「ガイデッドサージェリー」を導入しています。
これは、CTで撮影したお口のデータと専用のソフト(Simplant)を使い、コンピューター上で最適なインプラントの位置、深さ、角度を0.1mm単位でシミュレーション。その計画通りに手術をナビゲートするシステムです。
これにより、神経や血管を傷つけるリスクを最小限に抑え、極めて精密で安全性の高い手術を実現しています。
理由3:骨を再生させてから(GBR:ガイデッドボーンジェネレーション)インプラントオペを実行するから安全
インプラントを長持ちさせる上で、最も重要と言っても過言ではないのが、インプラントを支える「骨」の量と質です。
歯を失って時間が経つと、その部分の顎の骨は痩せていってしまうことがあります。骨の量が不足したままインプラントを埋入すると、安定性が得られず、将来的なトラブルの原因になる可能性があります。
初台の内藤歯科では、このような場合に**GBR(Guided Bone Regeneration:骨誘導再生術)**という治療法を積極的に行っています。
これは、特殊な移植材や膜などを用いて骨の再生を促し、インプラントを埋め込むのに十分な骨の厚みや高さを確保する処置です。
-
「骨が足りない」と諦めていた方でも治療が可能に
-
インプラントがしっかりと骨と結合し、安定性が向上
-
長期的な視点でインプラント周囲炎を予防し、インプラントの成功率を高める
GBRによって、インプラントを支える土台がしっかりと整うため、安心して長くインプラントをお使いいただけます。私たちは、見えない部分だからこそ、細部にまでこだわり、患者さんの安心と安全を最優先したインプラント治療を渋谷区初台で提供しています。
内藤歯科の院長は、1994年にはGBRの世界の専門医の一人としてソウルで研修をおこなっており、実に30年以上の経験と実績があります。
理由4:管理の質|治療後から始まる、専門医との本当のお付き合い
「インプラントは、手術が終わればゴール」ではありません。むしろ、快適な状態を維持するためのメンテナンスのスタートです。
当院では、インプラント専門医と学会認定衛生士が、治療計画から手術、そして術後の長期的なメンテナンスまで一貫して担当します。学会認定衛生士はメインテナンスの専門知識を持つ衛生士の中のプロフェッショナルです。渋谷区初台の内藤歯科には、日本顎咬合学会認定歯科衛生士が在籍。学会の歴史・活動内容と資格取得の難易度を解説し、咬み合わせから全身をサポートする当院の強みを紹介します。|初台駅から徒歩1分の歯医者「初台 内藤歯科」
このような専門的な管理を行い、患者様一人ひとりのお口の状態や生活習慣
今回ご紹介した患者様も、この定期メンテナンスを20年以上欠かさずに続けてくださったことが、良好な結果につながっています。
渋谷区初台で「長持ちするインプラント」をお探しの方へ
インプラント治療の成功は、「どのインプラントを選ぶか」以上に**「どの医院で、どの先生に治療してもらうか」**で決まります。
- 信頼できる材料を使っているか?
- 安全で精密な手術を行う技術があるか?
- 10年、20年先まで見据えた長期的な管理をしてくれるか?
この3つのポイントを、ぜひ医院選びの基準にしてください。
内藤歯科では、インプラントに関する不安や疑問に、専門医が直接お答えするカウンセリングを実施しています。「まずは話だけ聞いてみたい」という方も、どうぞお気軽にご相談ください。あなたの10年後、20年後のお口の健康まで見据えた、最適なご提案をさせていただきます。
インプラント治療FAQ
Q1: 内藤歯科のインプラント治療はどのような特徴がありますか?
A1: 内藤歯科では、インプラント治療において「長期安定性」と「審美性」を重視しています。特に、インプラント治療30年以上の実績を誇る院長は、最新のデジタル技術を活用し、患者様一人ひとりに合ったオーダーメイド治療を提供しています。長期症例の追跡調査も行っており、信頼性の高い治療が特徴です。
Q2: インプラント治療の長期症例とはどのようなものですか?
A2: 長期症例とは、インプラント治療後10年以上良好に経過した症例を指します。内藤歯科では、定期的なメンテナンスと適切なケアにより、多くの患者様が10年以上問題なくインプラントを使用されています。症例写真や経過レポートをブログ記事で公開しており、治療の信頼性を確認いただけます。
Q3: インプラント治療後のメンテナンスはどのように行っていますか?
A3: インプラント治療後は、定期的なメンテナンスが重要です。内藤歯科では、3ヶ月から6ヶ月ごとにチェックアップを行い、インプラントの状態や口腔内の健康を確認します。また、専用のクリーニングやブラッシング指導も実施し、長期安定性をサポートします。
Q4: インプラント治療はどのくらいの期間で完了しますか?
A4: インプラント治療の期間は、患者様の骨の状態や治療計画によって異なりますが、通常は、6ヶ月程度です。内藤歯科では、初回カウンセリングで詳しい治療スケジュールをご説明し、無理のないペースで進めます。短期集中治療も可能ですので、お気軽にご相談ください。
Q5: インプラント治療の費用はどのくらいかかりますか?
A5: インプラント治療の費用は、1本あたり50万円程度が目安です。内藤歯科では、治療内容や使用する材料に応じて詳細な見積もりをお出しします。また、クレジットカード払いにも対応しており、経済的な負担を軽減するサポートも行っています。
Q6: 内藤歯科のインプラント治療は初台エリアで評判が良いと聞きましたが、実際の患者様の声はどうですか?
A6: 内藤歯科では、多くの患者様から「痛みが少なかった」「抜歯より楽だった」「オペ中は寝てしまった」「治療後の見た目が自然」「長期間問題なく使えている」といった喜びの声をいただいています。ブログ記事では、実際の患者様の体験談や症例写真を公開しており、治療の信頼性を実感いただけます。
Q7: インプラント治療に適した年齢はありますか?
A7: インプラント治療に年齢制限はありませんが、骨の成長が完了する18歳以上が一般的です。内藤歯科では、高齢者の患者様にも安心して治療を受けていただけるよう、全身状態を考慮した治療計画を立てています。
Q8: インプラント治療のリスクやデメリットはありますか?
A8: インプラント治療は外科手術を伴うため、感染やインプラントの脱落などのリスクがあります。しかし、内藤歯科では、徹底した衛生管理と最新の技術でリスクを最小限に抑えています。また、治療前にリスクやデメリットを詳しくご説明し、納得いただいた上で治療を進めます。
Q9: 内藤歯科のインプラント治療は、どのように予約すれば良いですか?
A9: 内藤歯科のインプラント治療は、電話または24時間オンライン予約で簡単に申し込みいただけます。初回カウンセリングは1時間で行っており、治療の流れや費用について詳しくご説明します。お気軽にお問い合わせください。
Q10: 内藤歯科のインプラント治療は、他の歯科医院と比べて何が違いますか?
A10: 内藤歯科のインプラント治療は、豊富な経験と最新技術を組み合わせた「オーダーメイド治療」が最大の特徴です。初台エリアで長年信頼を築いてきた当院は、患者様一人ひとりに合わせた治療計画を立て、長期にわたるサポートを行います。また、ブログ記事や症例写真を公開し、治療の透明性を高めています。
| 治療内容の説明 | 他院よりの紹介で、1本インプラント修復した症例 |
| かかった期間, | 6か月 |
| かかった費用、 | 50万円 |
| 想定される副作用やリスク |
インプラント手術後に骨と結合しないリスクが5%程度ある |
| 内藤歯科公式サイト | 初台駅の歯医者「初台 内藤歯科」徒歩1分で無痛治療 |
| 内藤歯科24時間ネット予約 | 内藤歯科 / ネット予約|歯科タウン |
| 内藤歯科グーグルマップ | 初台 歯医者 - Google 検索 |
| 内藤歯科note | note naitodc|note |
| 内藤歯科facebook | (1) Facebook |
| 記事監修 | 内藤歯科・院長内藤嘉彦 |
| 出身大学 | 東京科学大学(旧東京医科歯科大学)出身 |
| 学会・資格 | 顎咬合学会・認定医 |
| 特定非営利活動法人 日本顎咬合学会 | |
| ICOI(国際口腔インプラント学会本部アメリカ・認定医) | |
| ICOI | |
| ISOI(国際口腔インプラント学会本部ドイツ・認定医) | |
| ドイツ歯科インプラント学会 – DGZI e.V. |DGZIは非営利団体であり、その規約に基づき、歯科医および診療チームのインプラント学的研修における品質保証に取り組んでいます。 | |
| ストローマンインプラント・スペシャリスト認定医 | |
| https://drive.google.com/file/d/1AGhwcEy4tY4vb2s6PVfiXBwXjGqnlapf/view?usp=sharing | |
| 世界10数か国において、インプラント、歯周病、審美の研鑽 | |
| 世界レベルの学会で専門医の研鑽を続けています。 |























